Это изделие применяют для реставрации повреждённого зуба. Они по внешнему виду очень похожи на настоящий зуб. Именно поэтому при помощи металлокерамических коронок можно предотвратить дальнейшее разрушение зуба, восстановив его анатомическую структуру.
Использовать этот материал в стоматологии начали с 50-х годов прошлого столетия. Подобные протезы стали популярными благодаря приемлемой стоимости, эстетичности и надёжности. Качественные металлокерамические коронки предлагают своим пациентам специалисты стоматологии https://stomatologya-sokolniki.ru.
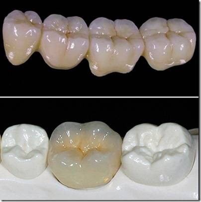
В зоне улыбки такие конструкции применяют очень редко, чаще для жевательных зубов. В состав протеза входит металлическая основа, которая покрыта керамическим напылением.
Поочерёдно каждый слой проходит обжиг. Именно после этого коронка напоминает зубную эмаль. Напыление керамики может быть различного оттенка. Он подбирается индивидуально для каждого пациента, чтобы цвет приблизить к натуральному максимально.
Процедура протезирования
Перед началом установки протеза зуб обтачивается немного. Иногда его депульпируют. Коронка после этого устанавливается на временный цемент, а приблизительно через 14 дней – на постоянный. Две недели являются так называемым испытательным сроком.
Депульпация – это процедура удаления волокнистых мягких тканей во внутренней части зуба. Пульпа из себя представляет сосудисто-нервный пучок. Она отвечает за чувствительность и питание зуба, а также его кровоснабжение. Когда удаляют пульпу, то чувствительность у зуба теряется.
Депульпация при протезировании обязательной операцией не является. В некоторых ситуациях её можно избежать. Главной причиной, которая подталкивает стоматолога убрать пульпу, это риск затронуть её в процессе обтачивания.
После препарирования зуба специалист должен сделать слепок. В лаборатории по нему будет производиться модель из гипса. Также стоматолог устанавливает пластиковые временные аналоги, чтобы пациенту не нужно было ходить с неполным рядом зубов.
На протяжении 7 дней производится металлический каркас литьём. Стоматолог примеряет его при очередном визите пациента. После этого производится напыление облицовочного слоя.
При этом керамика может быть нанесена как на всю поверхность изделия, так и лишь на заметные при раскрытии ротовой полости стороны.
Непосредственно перед установкой коронки стоит произвести обработку зуба специально предназначенным составом. Далее производят фиксацию коронки.



